Dental Malpractice?

​This is a question best left to a dental malpractice attorney, arbitrator, judge, jury or the California Board of Dental Examiners. Since graduating dental school in 1992 I have come across a lot of fine dentistry. Many times however, I have come across dentistry that I would consider substandard. Basically I ask the question, would I be happy with that dentistry in my mouth. Too often the answer is no.

Unfortunate results on unsuspecting patients.

Improper use of a laser on the gum tissue destroyed the gingival 
attachment. A painful and costly mistake. Periodontal gum surgery was 
needed to correct error, followed by new veneers.​

Improper use of a laser on the gum tissue destroyed the gingival attachment. A painful and costly mistake. Periodontal gum surgery was needed to correct error, followed by new veneers.

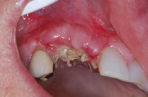
Huge extraction socket, failed bone graft, necrotic bone and tissue held in place by sutures.

Huge extraction socket, failed bone graft, necrotic bone and tissue held in place by sutures.

In the years I have been in practice I have seen and heard a lot from patients about the way in which they were treated by dentists, and I have witnessed the results of that treatment. Unfortunately, many patients do not know the difference between high quality dentistry, acceptable dentistry and substandard dentistry until they have experienced problems which can take a few years to present. Let's face it, people don't know what good dentistry is until they have had bad dentistry, and they don't know how bad dentistry can be until they have had really good dentistry.

On occasion, I have worked with malpractice attorneys when necessary for the sake of the patient. Often these patients have experienced not only financial setback but also unnecessary pain and suffering due to substandard dentistry. Often, the damage in these cases is irreversible and the patient's mouth is forever changed.

As I indicated in my "About" page, I have corrected a lot of this type of work. Over the years I have gathered a small group of specialists that I absolutely trust to do the right thing so that I have the utmost confidence in making necessary referrals. Not only do I always give my patients an education regarding their options, but I also do not over diagnose. I am a patient advocate. I have an allegiance to the patient and to the truth.